tooth-whitening (3)

what is teeth whitening?

Teeth whitening involves bleaching the teeth to lighten their colour. After treatment, the teeth look a few shades whiter, but not usually bright white. Whitening products typically use the chemicals hydrogen peroxide or carbamide peroxide. The bleach soaks through the tooth’s enamel top layer and into the dentine, the main part of the inside of the tooth which is slightly softer than the enamel. The bleach reacts with the coloured molecules that cause discolouration. The dentine then becomes lighter and the teeth look whiter. Bleach can also make the enamel surface more reflective, which looks whiter too.

When might someone need teeth whitening?

Teeth can be discoloured by:

  • tea, coffee, red wine or cola
  • smoking
  • excessive fluoride or tetracycline (an antibiotic) when the teeth are forming

If you are considering teeth whitening, you should consult your dentist to see if your teeth are suitable.

 

Teeth whitening is not recommended if you:

  • are pregnant or breastfeeding
  • have sensitive teeth
  • have gum disease or shrinkage
  • have cracks or exposed dentine
teeth whitening 6-min
teeth whitening 3-min

What to expect after a teeth whitening procedure?

Whitening is generally successful and can last for several years, but it isn’t permanent: for example, tea, coffee and red wine can stain your teeth again.

Benefits and risks of a teeth-whitening procedure

Teeth whitening can improve the appearance of discoloured teeth. It is also cheaper than some other restorative procedures.

The most common side-effects, which are often temporary, include:

  • tooth sensitivity, especially from power bleaching
  • irritation of the gums

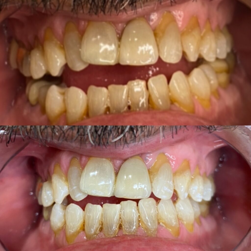
Before and after

Who shouldn't have teeth whitening treatment?

Pregnant or breastfeeding women are advised not to have teeth whitening. The potential impact of ingested bleach on the foetus or baby is not yet known. We also recommend the treatment for persons over the age of 16.

Individuals with highly sensitive teeth or those who are in need of dental work should consult their dentist before having a whitening procedure.

If you have severe allergies like anaphylaxis is best to avoid the treatment as there is no guarantee the products it is made from have not come in contact with or been produced alongside other products. It's just not worth the risk

Risks and sensitivity

Although rare with our gentle gel, teeth whitening can cause a temporary increase in sensitivity to temperature, pressure and touch. Persons at most risks for whitening sensitivity are those with gum recession, significant cracks in their teeth or leakage resulting from faulty restorations. We do not recommend a teeth whitening to anyone who is currently suffering from a dental condition or who requires dental work. Whitening sensitivity usually lasts no longer than a day or two, but in some cases may persist a little longer. We recommend toothpaste for sensitive teeth to reduce any pain that may be caused.

It is very important not to brush the teeth roughly prior to the treatment. This can cause trauma to the gums resulting in burning and sensitivity during the treatment. It is best to brush very gently at least 1 hour prior to the treatment to ensure the gums are not distressed prior to the treatment.

Gum irritation

Clients occasionally experience some degree of gum irritation, usually from applying the gel onto the gum tissue and or brushing too harshly before the treatment. Such irritation typically lasts from a few minutes after treatment up to several days in the worst case scenario. The use of vitamin e swab is very successful in eliminating gum sensitivity.

It is very important not to brush the teeth roughly prior to the treatment. This can cause bleeding and trauma to the gums resulting in burning and sensitivity during the treatment. Many people brush their teeth so hard they make their gums bleed. This leaves an open wound that will sting or burn when the gel touches it. It is best to brush very gently at least 1 hour prior to the treatment to ensure the gums are not distressed.

calendar

Book Now

Teeth Whitening Aftercare 

How to take care of your teeth post-treatment

What you do immediately after a teeth whitening treatment dictates how well the results will last. The first twenty-four hours after treatment are especially important.

 

Here are some rules for post treatment :

  • Avoid drinks that leave dark stains such as coffee, red wine, fruit juice, dark sodas, beer, and black tea
  • Avoid foods that leave dark stains such as soy sauce, cured meats, chocolate, and any land of fruit
  • No smoking, although limited use of e-cigarettes is ok
  • Avoid coloured toothpaste and mouthwashes, for example, red or blue

These guidelines can be summed up as "if it would stain a white shirt, it will stain a white tooth. Whatever passes through your lips after a tooth whitening treatment should be light coloured and have a soft, non-acidic texture.

Some foods that fall under this description and would be good choices post-treatment include :

  • Cauliflower
  • Milk
  • Pasta
  • Rice
  • Eggs
  • White cream sauces
  • Whitefish
  • White cheese
  • Skinless chicken breast
  • Tofu
  • Peeled potatoes
  • White yogurt
  • Clear coconut water
  • Clear alcohol with light mixers, such as gin and tonic or vodka soda

Frequently Asked Questions

teeth whitening 5-min